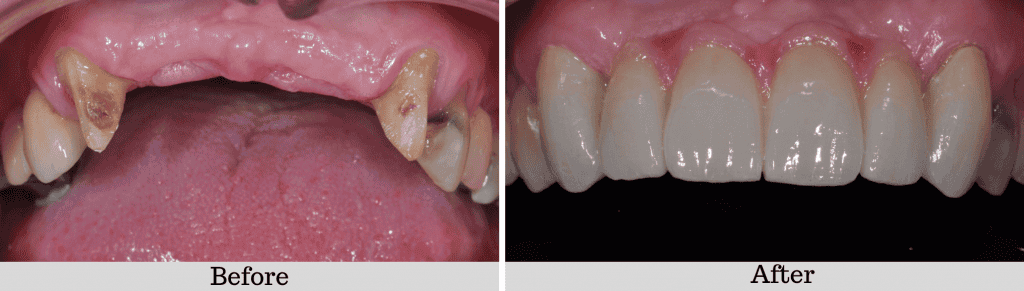
A dental bridge is a fixed dental prosthetic used to replace one or more missing teeth. It spans the gap created by the missing teeth, with a replacement tooth (pontic) supported by the teeth or implants on either side. Bridges can be made from materials like porcelain, metal, or a combination, and are designed to be permanently cemented in place.
Types of Bridges

- Conventional Bridges:These are the most common type, using crowns on the natural teeth on either side of the gap to support the replacement tooth (pontic).
- Adhesive Bridges:These bridges use wings on the pontic to be bonded to the inner surfaces of the supporting teeth, avoiding the need for crowns.
- Implant-Supported Bridges:These bridges use dental implants as anchors instead of natural teeth, offering a more secure and durable option, especially for larger gaps.
Benefits of Dental Bridges
- Replaces Missing Teeth: Restores the natural appearance and function of your smile.
- Improves Speech: Missing teeth can affect speech, and a bridge can help improve articulation.
- Improves Chewing: Missing teeth can make chewing difficult, and a bridge can restore chewing ability.
- Prevents Tooth Movement: Bridges can help prevent adjacent teeth from shifting into the gap left by missing teeth.
- Maintains Jawbone Structure: Bridges can help prevent bone loss that can occur when teeth are missing.
