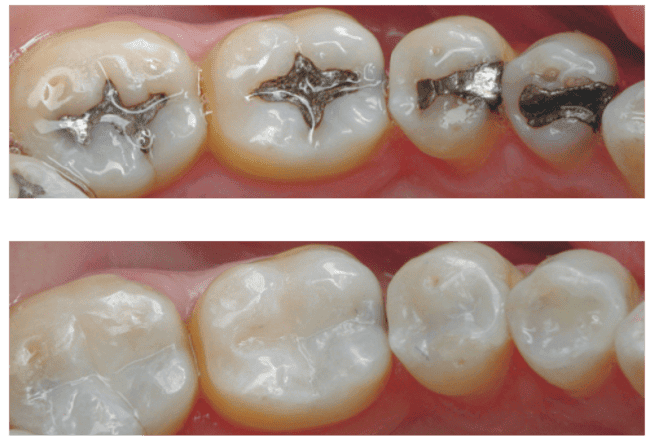
There are several types of fillings available to restore teeth damaged by decay or trauma. The most common are amalgam fillings, made from a mixture of metals like silver, mercury, and tin, known for their strength and durability. Composite resin fillings are tooth-colored and blend naturally with the teeth, making them popular for visible areas; they are made from a plastic and glass mixture. Ceramic fillings, often made of porcelain, are also tooth-colored and highly resistant to staining, providing a more aesthetic option. Gold fillings are durable and long-lasting but are less commonly used today due to their cost and noticeable appearance. Additionally, glass ionomer fillings release fluoride, which can help protect the tooth from further decay, making them useful especially in children and for fillings near the gum line. Each type offers different benefits depending on the location of the cavity, cosmetic concerns, and patient preferences.
AMALGAM FILLINGS CHANGED TO COMPOSITE TOOTH COLOURED FILLINGS

GOLD ONLAY

